By Ruth Van Hatten, DVM, DACVR
angell.org/diagnosticimaging
diagnosticimaging@angell.org
617-541-5139
April 2023
x
x
A common presenting complaint to the emergency room and during primary care appointments is vomiting and inappetence in small animals. Abdominal radiographs are commonly initially performed to rule out a gastrointestinal mechanical obstruction, gastrointestinal foreign body, or abdominal mass. If a clear cause is not determined, additional diagnostic tests are pursued that include abdominal ultrasound and blood work. This article will discuss some of the more common small intestinal diseases of dogs and cats on ultrasound.
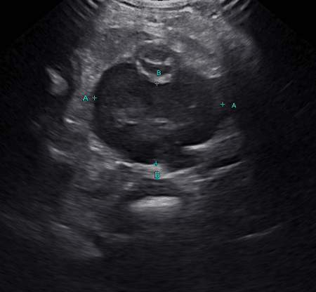
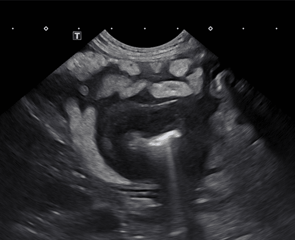
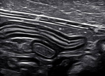
Small intestinal abnormalities on ultrasound can be broken into two main categories: focal and diffuse disease. Focal small intestinal lesions include mechanical obstruction caused by foreign material, intussusception, or a mass. Masses are described as circumferential, asymmetrically circumferential, or eccentric (Figures 1a-1c). In dogs, one study noted that 99% of dogs with intestinal neoplasia have a loss of wall layering; unfortunately, there can be some overlap between benign and malignant masses on ultrasound. The more common intestinal mass neoplasms include adenocarcinoma, lymphoma, gastrointestinal stromal tumor, leiomyosarcoma, leiomyoma, and mast cell tumor. In cats, the most common intestinal masses are lymphoma or adenocarcinoma, followed by mast cell tumors. Lymphoma can present as solitary or multiple masses or a diffuse altered wall layering. Carcinomas most often are transmural lesions with loss of wall layering and can result in the narrowing of the lumen and secondary mechanical ileus. Mast cell tumors most commonly present as a focal mass that is hypoechoic and either eccentric or asymmetrically circumferential, similar to other intestinal neoplasms, and is rarely reported as a diffuse intestinal wall thickening. An interesting point documented in cats is that mast cell tumors in the intestine can often alter but not completely disrupt the wall layering. In dogs, it has been reported that there are no ultrasonographic signs to help differentiate between gastrointestinal spindle cell tumor types as they most often are seen as eccentric and bulging out of the serosa; however, gastrointestinal stromal tumors were more commonly seen in the cecum and large intestine.
Figure 1a (above): Example of an eccentric small intestinal mural mass as seen with leiomyoma and leiomyosarcoma.
x
Figure 1b (above): Example of a circumferential small intestinal mural mass diagnosed as lymphoma.
xx
Figure 1c (above): Example of an asymmetric, circumferential small intestinal mural mass diagnosed as lymphoma.
x
Benign small intestinal mass lesions include granulomas, inflammatory polyps (most commonly seen in the duodenum), and inflammatory masses. Feline gastrointestinal eosinophilic sclerosing fibroplasia (FGESF) is a nodular, non-neoplastic inflammatory lesion that can result in a discrete small intestinal mass with loss of wall layering and ulceration with the same ultrasonographic appearance as neoplastic lesions. These lesions are often seen with mild regional lymphadenopathy and have been associated with intracellular bacteria within the lesions in 56% of cats. Adenomatous polyps are most commonly seen as small, homogenous nodules arising from the mucosa that projects into the lumen with the preservation of wall layering. Certain infectious causes can result in small intestinal lesions that mimic neoplastic lesions, such as feline infectious peritonitis and pythiosis.
Examples of diffuse small intestinal diseases include non-specific enteritis, inflammatory bowel disease, or infiltrative neoplasia such as lymphoma. Both inflammatory bowel disease and lymphoma can have a normal appearance of the small intestine on ultrasound or demonstrate a thick muscularis layer described as muscularis to submucosa ratio of greater than one (Figure 2a-2c). Cats with lymphoma are more likely to present with a thick muscularis layer, while approximately 20% of dogs with lymphoma can have a normal small intestinal wall on ultrasound. In dogs, inflammatory bowel disease can be seen as segmental or diffuse muscularis thickening. Enlarged, rounded, hypoechoic lymph nodes are more often present with lymphoma. They can be a way to obtain a diagnosis via fine needle aspiration without requiring a small intestine biopsy. If the cytology does not clearly indicate round cell neoplasia or the lymph nodes are only mildly enlarged or normal, a biopsy of the small intestine (via endoscopy or exploratory laparotomy) would be required for a definitive diagnosis due to the large overlap in the appearance between the two diseases.
An additional differential diagnosis for a diffusely thick muscularis layer is muscularis hypertrophy. This author has seen this occur secondary to more chronic small intestinal foreign body obstructions and intestinal parasitic infections. This is suspected to be due to hypertrophy of the small intestinal muscle layer against some resistance, similar to building muscles from lifting weights.

Figure 2a (above): Schematic of a normal small intestinal wall layering.
x
Figure 2b (above): Example of a normal small intestinal wall on ultrasound.
x
Figure 2c (above): Example of a thick muscularis layer of the small intestinal wall as seen with inflammatory bowel disease and lymphoma.
x
Occasionally, inflammatory bowel disease, specifically protein-losing enteropathy in dogs, can present on ultrasound as linear hyperechoic striations within the mucosal layer (Figure 3). These hyperechoic striations have been determined to be dilated lacteals associated with lymphangiectasia. One complicating factor is that the lacteals will dilate normally after a recent meal ingestion; thus, one of many reasons fasting before ultrasound is required. With protein-losing enteropathy, abdominal effusion may also be present secondary to hypoproteinemia.
Figure 3 (above): Example of hyperechoic striations within the mucosal layer due to dilated lacteals in the small intestinal wall as seen with lymphangiectasia.
x
An additional differential diagnosis for altered small intestinal wall layering is gastrointestinal histoplasmosis infection. In these cases, the submucosal layer was thickened +/- a muscularis thickening. The small intestinal changes were variable, with diffuse circumferential thickening of the colonic wall most commonly seen. Consider this differential if the animal is from or visited endemic areas, and diagnosis can be obtained with rectal scape cytology, histopathology, fungal culture, or antigen testing.
Abdominal ultrasonography is an invaluable tool when evaluating gastrointestinal illnesses. Differentiating diffuse from focal disease, the appearance of the lesion, and even location can help prioritize and rule out various small intestinal diseases; however, due to the large overlap between the various diseases, cytology or biopsy is often required for a definitive diagnosis.
x
References
- Chavez-Peon Berle E, KuKanich K, Biller D. Ultrasonographic findings of gastrointestinal histoplasmosis in dogs. Vet Radiol Ultrasound. 2022;62:108-115.
- Collin-Webb A, Chong D, Cooley S. Ultrasonographic intestinal muscularis thickening in dogs with histologically confirmed inflammatory bowel disease; 13 cases (2010-2021). Vet Radiol Ultrasound. 2022;1-6.
- Frances M, Lane E, Lenard ZM. Sonographic features of gastrointestinal lymphoma in 15 dogs. Journal of Sm Anim Practice. 2013;54:468-474.
- Griffin S. Feline Abdominal Ultrasonography: What’s Normal? What’s Abnormal? The diseased gastrointestinal tract. Journal of Feline Medicine and Surgery. 2019;21:1047-1060.
- Graham J, et al. Ultrasonographic feature of canine gastrointestinal pythiosis. Vet Radiol Ultrasound. 2000;41(3):273-277.
- Hobbs J, et al. Ultrasonographic features of canine gastrointestinal stromal tumors compared to other gastrointestinal spindle cell tumors. Vet Radiol Ultrasound. 2015;56(4):432-438.
- Larson MM and Biller DS. Ultrasound of the Gastrointestinal Tract. Vet Clin Small Animal. 2009;39:747-759.
- Laurenson MP, et al. Ultrasonography of intestinal mast cell tumors in the cat. Vet Radiol Ultrasound. 2011;52(3):330-334.
- Pennick D, et al. Diagnostic value of ultrasonography in differentiating enteritis from intestinal neoplasia in dogs. Vet Radiol Ultrasound. 2003;44(5):570-575.
- Sutherland-Smith J, et al. Ultrasonographic intestinal hyperechoic mucosal striations in dogs are associated with lacteal dilation. Vet Radiol Ultrasound. 2007;48(1):51-57.
- Weissman A, et al. Ultrasonographic and clinicopathologic features of feline gastrointestinal eosinophilic sclerosing fibroplasia in four cats.” Journal of Feline Medicine and Surgery. 2012;15(2):148-154.